PaX-i


Calidad de Imagen Superior

- Calidad optima de imagen, para un diagnostico preciso.

Dos Sensores Dedicados

- Sensores especializados para PANO y CEPH.

Software Fácil De Usar, EZDENT-i

- Solución completa de diagnostico y consulta.


Más Información »«

DOS SENSORES DEDICADOS

Dos sensores dedicados e integrados para Pano y Ceph

DESCRIPCIÓN


LA SOLUCIÓN AVANZADA DE IMÁGENES PARA UN DIAGNÓSTICO DENTAL EXACTO

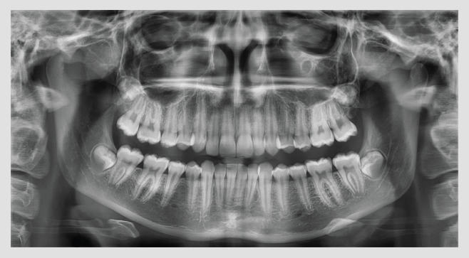
PaX-i proporciona la imagen panorámica más precisa y de alta calidad al combinar procesamiento de imágenes y experiencia acumulada en imágenes dentales de VATECH. Esto mejorará su precisión diagnóstica con una mayor planificación del tratamiento y la satisfacción del paciente.

NUEVO ESTÁNDAR DE IMAGEN PANORÁMICA

Una imagen panorámica nítida y clara le ofrece mejores diagnósticos. Los detalles avanzados, especialmente en la parte anterior y en las raíces, se pueden ver fácilmente con PaX-i. Estas imágenes consistentemente de alta calidad son el nuevo estándar de imágenes panorámicas.

HAGA SU DIAGNÓSTICO FÁCIL Y EFICIENTE CON VARIOS MODOS DE CAPTURA

PaX-i tiene varios modos de captura para satisfacer sus necesidades diagnósticas. Puede elegir cualquier modo de captura según sus necesidades de diagnóstico.

MODO BITEWING

MODO TMJ

CEFALOMÉTRICO (SCAN CEPH)


El PaX-i proporciona imágenes óptimas diseñadas exclusivamente para la ortodoncia. Hay dos tamaños de imagen disponibles, lateral y lateral completo, lo que le permite elegir el tamaño de imagen según sus necesidades de diagnóstico.

LATERAL

Proporcionar imágenes especializadas de alta calidad para adaptarse a las cirugías de ortodoncia y maxilofacial.

LATERAL COMPLETO

El tamaño de la imagen lateral completa es 30% más ancho y muestra el área occipital del paciente, lo que permite un diagnóstico integral.

ESPECIFICACIÓN


FUNCTION Pano + Ceph
SCAN TIME Pano: HD 13.5 sec/ Normal 10.1
Ceph: Scan 12.9 sec/ One-shot 0.9
FOCAL SPOT 0.5 mm
TUBE VOLTAGE/CURRENT 50-90 KVp/ 4-10 mA
CEPH FOV SIZE SC 8.3" x 9.1" [LAT, PA, SMV, Waters View] 10.6" x 9.1" [Full LAT]
OP 12" x 10" [LAT, PA, SMV, Watres View, Carpus]
GRAY SCALE 14 bit
PATIENT POSITIONING Standing / Wheel-Chair Accessible

DIMENSIÓN


TIPO VISTA SUPERIOR VISTA FRONTAL
PaX-i
(Pano)
PaX-i SC
(Pano/ Scan Ceph)
PaX-i OP
(Pano/ One Shot Ceph)