New i3D Green Smart


UNA EXPLORACIÓN, DOS IMÁGENES

TECNOLOGÍA DE DETECCIÓN COMPRIMIDA INNOVADORA

ARCO EXTENDIDO FORMA EN FORMA DE FOV


Más Información »«

INNOVACIÓN INTELIGENTE

No más de lo que quieres, no menos de lo que necesitas.

DESCRIPCIÓN


UN ESCANEADO, DOS IMÁGENES

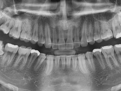
Un escaneo con un i3D Green Smart no solo le proporciona una imagen de CT, sino también una imagen de Auto Pano. Esto significa que los pacientes que requieren ambas imágenes no necesitan someterse a dos exploraciones de rayos X. Además, las imágenes CT y Auto Pano se muestran dentro de la función One Viewer.

ESCANEO 3D PARA MODELO

El escaneo de modelos 3D permite a los usuarios almacenar yeso como modelos digitales.

Integración CAD / CAM

Suficiente nivel de detalles para el diseño de la guía quirúrgica.

Plantilla especialmente diseñada

Plataforma estable desde el modelo parcial hasta el escaneo completo del modelo.

INNOVACIÓN INTELIGENTE PARA DIAGNÓSTICO PRECISO


TECNOLOGÍA DE DETECCIÓN COMPRIMIDA INNOVADORA

La calidad de imagen 3D se mejora drásticamente en función de la innovadora tecnología de reconstrucción de imágenes

Reconstrucción normal de imágenes

Reconstrucción de imágenes SMART


FOK EXTENDIDO EN FORMA DE FOV

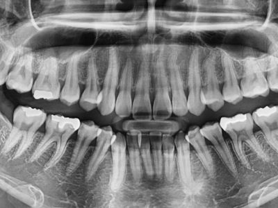
El innovador campo de visión del i3D Smart proporciona un volumen en forma de arco, que muestra una vista más amplia de la dentadura en comparación con otros dispositivos del mismo campo de visión. Para los terceros molares impactados, hay una alta probabilidad de que el volumen omita esta importante anatomía. El "volumen en forma de arco" de i3D Smart elimina esta posibilidad y proporciona al médico toda la dentadura necesaria para un diagnóstico completo.


ESPECIFICACIÓN


FUNCIÓN CT + Pano(Real/Auto)
PUNTO FOCAL 0.5 mm
CT FOV TAMAÑO 5X5 cm / 10X8.5 cm (anatómico 12X9 cm)
TIEMPO DE ESCANEO CT 18 Seg
Pano 13.6 seg
TIEMPO RECONSTRUCCIÓN CT Max. 90 segundos (10x9 / 0.2)
Pano Menos de 2 segundos
TENSIÓN DE TUBO / CORRIENTE 50-99 KVp/ 4-16 mA

DIMENSIÓN


VISTA SUPERIOR VISTA FRONTAL

* Se requiere un espacio adicional de 3 pulgadas (76.2 mm) detrás de la unidad para la instalación del soporte de montaje en pared (obligatorio a menos que haya una instalación de montaje en la base).

IMAGENES


PANORÁMICA


CT