INNOVACIÓN GREEN
DE NUEVA GENERACIÓN

Más Información »«

DESCRIPCIÓN


EL SISTEMA MÁS AVANZADO DE RAYOS X DIGITAL 4 EN 1

Green X 18 incorpora pano, ceph (opcional), CBCT y escaneo de modelos.

Proporciona imágenes de alta calidad con menor radiación al combinar el procesamiento de imágenes con la amplia experiencia de Vatech en el campo de las imágenes dentales, mejorando la precisión de tu diagnóstico y una mejor planificación del tratamiento.


MODO ENDO CON ALTA RESOLUCIÓN VOXEL DE 49.5 MIGRAS

Con su modo de volumen de 4 x 4 cm y un tamaño de vóxel de 49.5 micras, modo Endo optimiza el tratamiento de regiones de interés. Es ideal para uso endodóntico porque el dentista puede lograr una imagen extraordinaria en un tamaño de vóxel de alta resolución.


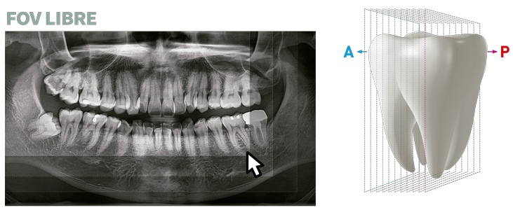
GRAN FOV DE ESCANEO

Green X 18 tiene una amplia gama de campos de visión para que puedas elegir FOV óptimo minimizando la exposición en áreas que no están en la región de interés.

La selección de FOV se adapta a tus necesidades de diagnóstico: 18×24*, 18×15, 16×11, 12×9, 8×8, 8×5, 5×5 y 4×4. Estas opciones abarcan toda la región del arco, seno y ATM (izquierda / derecha) y se adapta a la mayoría de casos de cirugía y cirugía de implantes múltiples.

ESCANEO GREEN, FAST SCAN CON TECNOLOGÍA VATECH

Debido a su tiempo de escaneo, Green X minimiza el movimiento de artefacto y permite un flujo de trabajo más rápido. Produce magníficas imágenes de diagnóstico que serán motivo de orgullo para cualquier consulta dental.

FUNCIÓN INSIGHT DE SEGUNDA GENERACIÓN

Insight PAN es capaz de tomar una multicapa de la imagen panorámica proporcionando un aspecto de profundidad a través de un punto focal único. Insight 2.0 tiene la función de FOV gratuita mejorada para capturar sólo el área de interés.

ESCANEO DE MODELOS 3D

Clínica integral digitalizada ya que permite el almacenamiento de yesos como modelos digitales en archivos STL.

INTEGRACIÓN CAD/CAM

•Nivel suficiente de detalle para el diseño de la guía quirúrgica

PLANTILLA ESPECIALMENTE DISEÑADA

•Protección estable de modelo parcial a modelo completo.

ESPECIFICACIONES

GREEN X 18: PHT -75CHS


FUNCIÓN CT + Pano + Ceph + Model Scan
Punto Focal 0.5 mm (IEC 60336)
CT FOV TAMAÑO 4x4, 5x5, 8x5, 8x8, 12x9, 16x11, 18x15, 18x24* (Double Scan) cm
TAMAÑO DEL VOXEL 4x4     0.05 mm
5x5     0.08 mm / 0.12 mm
8x5 / 8x8       0.12 mm/ 0.2 mm
12x9 /16x9 /18x15 /18x24     0.2 mm/0.3 mm
TIEMPO DE ESCANEO Pano: 4.0 sec / 14.1 sec
Ceph: 1.9 sec / 49 sec
CBCT: 2.9 sec / 9.0 sec
ESCALA DE GRISES 14 Bit
VOLTAJE / CORRIENTE DEL TUBO 60 - 99 kVp / 4 - 16 mA
PESO SIN CEPH: 162.9 kg (359.13 lbs - sin Base)
217.9 kg (480.38 lbs - con Base)
Con CEPH187.9 kg (414.25 lbs - sin Base)
242.9 kg (535.50 lbs con Base)
DIMENSIONES Con CEPH: 1905.5 mm (L) x 1374.9 mm (W) x 2315.4 mm (H) - sin Base
1905.5 mm (L) x 1374.9 mm (W) x 2345.4 mm (H) - con Base
SIN CEPH: 1085.0 mm (L) x 1343.5 mm (W) x 2315.4 mm (H) - sin Base
1085.0 mm (L) x 1343.5 mm (W) x 2345.4 mm (H) - con Base
*Las especificaciones están sujetas a cambios sin previo aviso.

DIMENSIONES


IMÁGENES


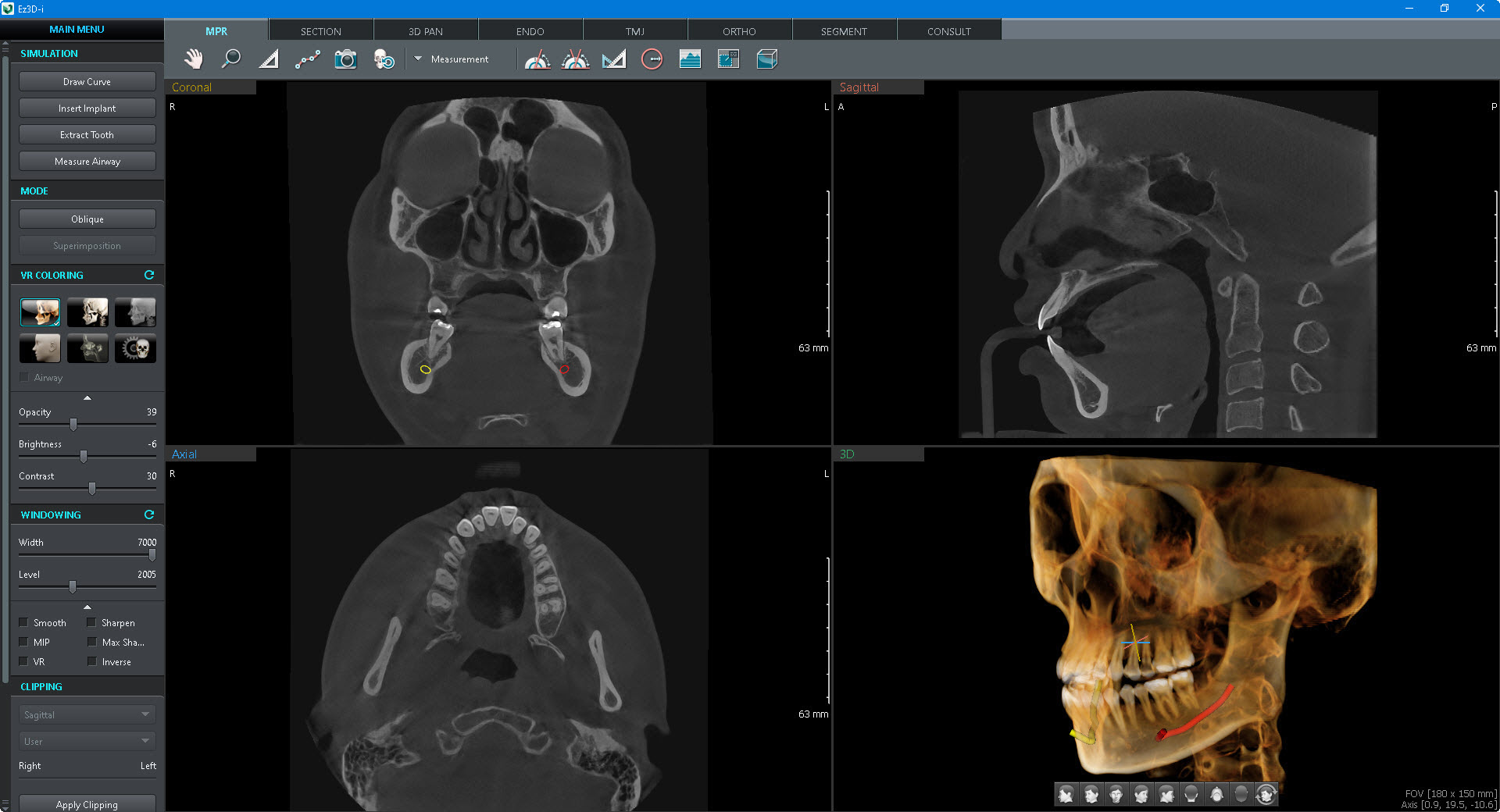
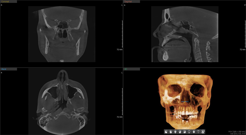
CT

Haga clic en las imágenes para ampliar



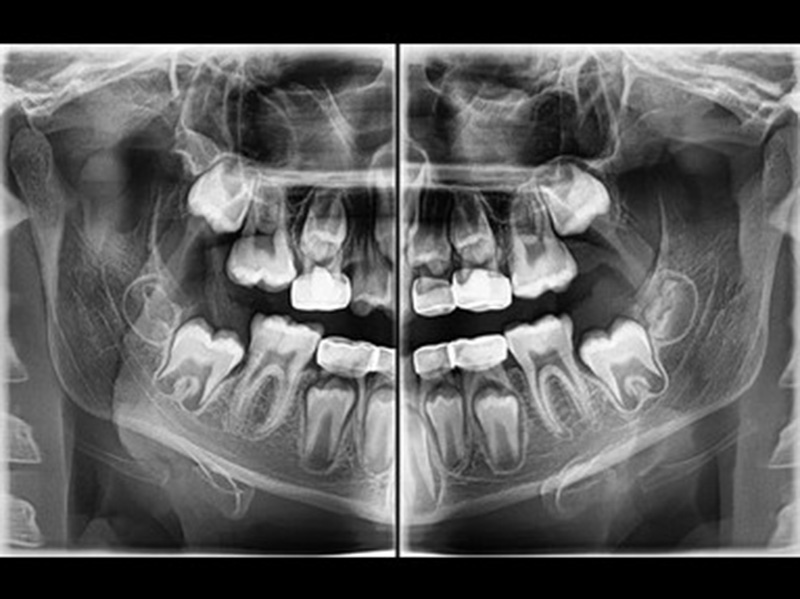
PANO

Haga clic en las imágenes para ampliar



BITEWING

Haga clic en las imágenes para ampliar



CEPH

Haga clic en las imágenes para ampliar