- Tecnología LITE

- Sistema 3 en 1 (Pano + Ceph + Función extra de CT)

- FOV Anatómico 9.3x8


Más Información »«

UNA NUEVA DIMENSIÓN
QUE VA MÁS ALLÁ DE TUS EXPECTATIVAS

DESCRIPCIÓN


TECNOLOGÍA LITE EN NUESTRO SISTEMA DE RAYOS X 3 EN 1

A9 cuenta con una tecnología lite que además de la función plano + ceph te permite obtener imágenes CT de manera lite para tu diagnóstico.

Proporciona las imágenes más precisas y de mayor calidad mediante la combinación del procesamiento de imágenes y la experiencia acumulada de Vatech en el campo de la imagenología dental.


FOV INTEGRAL PARA IMÁGENES 3D

Con un FOV 8x8, las imágenes permiten realizar diagnósticos fundamentales y planificar el tratamiento, incluyendo las áreas maxilar y mandibular, en una sola exploración.

Es útil para cirugías de implantes complejas y diagnósticos de ATM izquierda/derecha.


FOV ANATÓMICO 9.3X8

El FOV de Vatech A9 proporciona un volumen anatómico en forma de arco que muestra una visión más amplia de la dentición en comparación con otros equipos con el mismo FOV.

Cuando el diente está inclinado, existe una alta posibilidad de que esta pieza se corte de la imagen.

MINIMIZA ARTEFACTOS DE MOVIMIENTO CON LA TECNOLOGÍA "RAPID CEPH"

"Rapid Ceph" de Vatech, que minimiza los artefactos de movimiento y permfite un flujo de trabajo de diagnóstico más rápido a la vez que proporciona imágenes digitales de la más alta calidad.

ESPECIFICACIONES

VATECH A9: PHT-30CSS


FUNCIÓN CT + Pano + Ceph
Punto Focal 0.5 mm (IEC 60336)
TAMAÑO DE FOV CT 8x8 cm (Anatómico de 9.3x8 cm)
TAMAÑO DEL VOXEL 0.2 mm / 0.3 mm
TIEMPO DE ESCANEO Pano:18 seg.
Ceph: 11.9 seg. / 14.1 seg.
CBCT: 1.9 seg. / 3.9 seg.
ESCALA DE GRISES 14 Bit
VOLTAJE / CORRIENTE DEL TUBO 60 - 99 kV / 4 - 10 mA
PESO SIN CEPH: 92 kg (202.83 lbs - sin Base)
130 kg (286.60 lbs - con Base)
Con CEPH118 kg (260.15 lbs - sin Base)
156 kg (343.92 lbs - con Base)
*Las especificaciones están sujetas a cambios sin previo aviso.

DIMENSIONES


IMÁGENES


CT

Haga clic en las imágenes para ampliar



PANO

Haga clic en las imágenes para ampliar





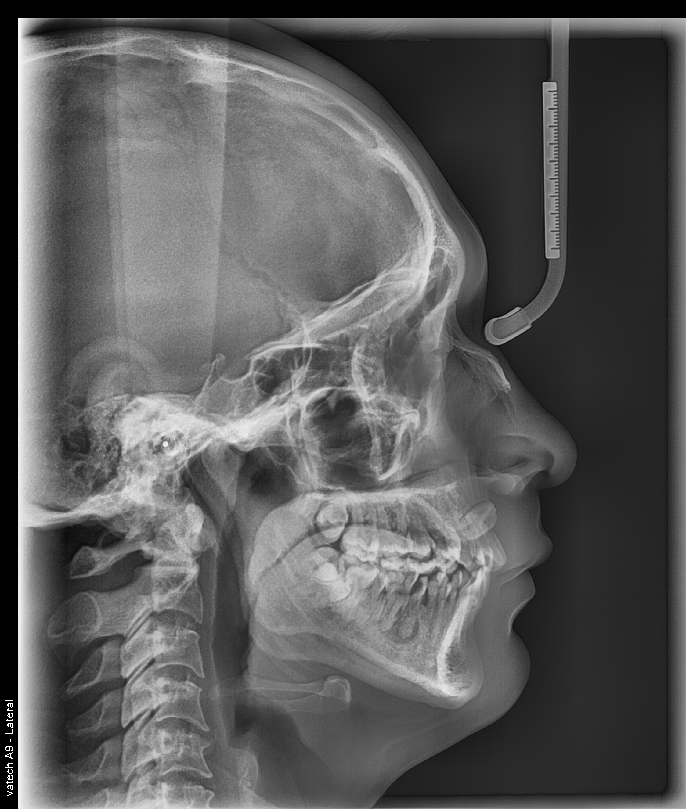
CEPH

Haga clic en las imágenes para ampliar



Carpal

Haga clic en las imágenes para ampliar